



当院には、日本歯周病学会認定医が在籍しています。 歯周病は単なる歯茎の腫れや出血だけではなく、進行すると歯を支える骨(歯槽骨)が溶けてしまい、最終的には抜歯に至ることもあります。 認定医とは、学会で定められた研修施設に3年以上所属し、症例報告や学術大会での講演等を義務的にこなしている歯科医師に与えられる資格です。 非常に狭き門であり、歯科医師全体の約1.95%しかこの認定を取得しておりません。

「なるべく自分の歯で噛み続けていただきたい」という思いを大切にしています。
歯を失ってしまった時、見た目だけでなく噛み合わせや食生活、さらには全身の健康にも影響が及ぶことがあります。そのため、当院では「抜歯ありき」ではなく、まずは「抜かずに残せるかどうか」を精密に診査・診断し、最適な治療プランをご提示することを心がけています。
患者様お一人おひとりのお口の状態を、レントゲンやCT、歯周ポケットの深さなどを含む精密な検査で把握します。
そのうえで、「歯を支える骨や歯肉の状態」「感染の有無」「将来的な予後」などをトータルに評価し、歯を残すために何ができるかを検討します。
たとえ「抜歯が必要」と診断された場合でも、状態によっては以下のような処置によって歯を残す可能性があります。
● 歯周外科手術(歯肉・骨の再整形)
● 歯肉組織再生療法(破壊された歯を支える組織の再生)
● 継続的なメンテナンス治療とホームケアによる管理強化
当院では、これらの高度な処置を含め、「残すための最善策」を選択肢としてご提示いたします。
歯を残す治療を行った後も、日々のケアと定期的なメンテナンスが不可欠です。
ご自宅でのブラッシング指導はもちろん、定期クリーニング・検査によって状態を維持/改善し、歯を長く機能させるための環境づくりを継続的にサポートいたします。

歯周病とは、歯周病菌によって歯茎の腫れ・出血を引き起こし、徐々に内部へ進行していき、最終的には歯を支える歯槽骨を溶かしてしまう病気です。
初期症状はほとんど自覚できないケースが多く、気づいた時にはかなり進行していることもあります。
さらに、日本人の成人の約8割が「歯周病または歯周病予備軍」と言われています。
歯周病の予防・進行抑制には、毎日の正しい歯磨き習慣と、定期的な歯科クリニックでのメンテナンスが不可欠です。
「できるだけ歯を抜きたくない」「他院で抜歯と言われたけれども方法がないか相談したい」という方、ぜひご相談ください。

毎日の正しい歯磨きで、歯垢を徹底的に除去することが重要です。口腔内の細菌数を減らすのに第一歩となります。

歯茎の上の歯垢・歯石に対してはスケーリング、歯茎の下(歯周ポケット内)に入り込んだ歯垢・歯石に対してはルートプレーニングを行います。これにより歯の表面を滑らかにして、汚れが再付着しにくい環境を作ります。

SRPでも改善が見られない重度の症例では、歯肉を切開してポケット奥深くまで歯石などを除去する外科的処置を行います。

歯周病によって破壊された歯周組織(歯肉・歯槽骨など)を、骨補填材や薬剤を用いて再生を促す治療です。適応症例・術後管理が重要です。

歯茎にのみ炎症が起きている状態。痛みがほとんどないため自覚しづらいですが、歯磨き時や硬い物を噛んだ時に出血することがあります。
歯周病菌の炎症が歯茎の内側にも進行、歯を支える骨(歯槽骨)にも影響が出始めている段階。腫れ・出血・冷たいものがしみるなどの症状が出ることがあります。
歯槽骨の1/3〜1/2が破壊された状態。歯茎の腫れ・出血・膿・歯のぐらつき・口臭など自覚症状がかなり出ます。
歯槽骨の2/3以上が溶け、歯根が露出し、歯茎からの出血・膿・口臭・歯のグラつきがひどくなり、食事ができないほどになる事もあります。このまま放置すると自然に歯が抜け落ちる可能性があります。

歯周病をしっかり改善・管理できていない場合、例えばインプラント治療を行っている方では、同じように歯槽骨に埋入された人工歯が「インプラント周囲炎」という歯周病類似の炎症に侵される可能性が高まります。
インプラントはむし歯にはなりませんが、歯周病菌に対しては脆弱で、進行スピードも速いと報告されています。
そのため、インプラント治療の前後・治療中においても、歯周病の検査・クリーニング・日々のケア・定期メンテナンスが極めて重要です。


| 項目名 | 内容 |
|---|---|
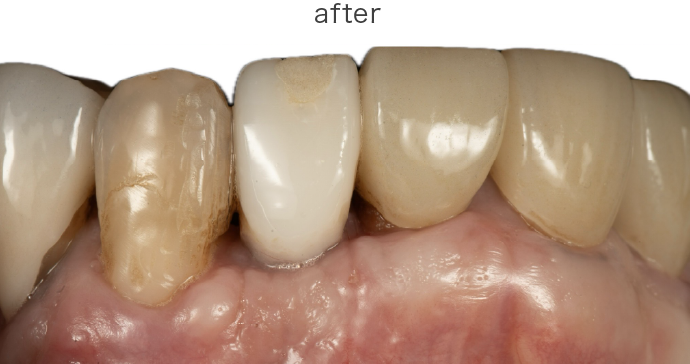
| 治療内容 | 上段 根面被服術(歯茎を上げる手術) |
| 治療費 | 総額 88000円〜 |
| 治療回数 | 1回 |
| リスク | 術部の発赤、腫脹、疼痛、部分的なネクローシス |

| 項目名 | 内容 |
|---|---|
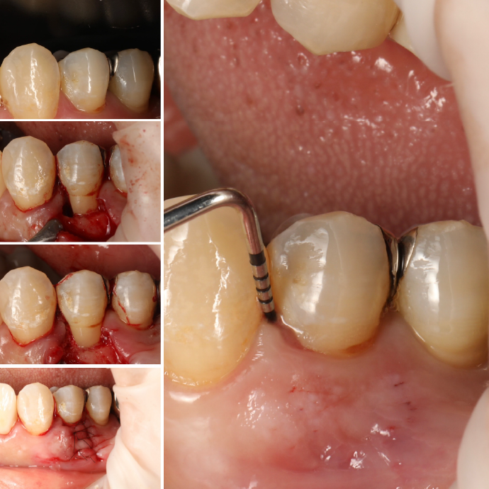
| 治療内容 | 下段 歯周外科(再生療法) |
| 治療費 | 総額 88000円〜 |
| 治療回数 | 1回 |
| リスク | 術部の発赤、腫脹、疼痛、部分的なネクローシス |




| 項目名 | 内容 |
|---|---|
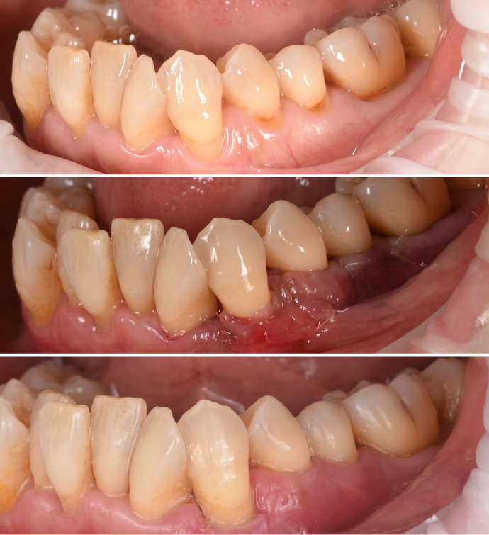
| 治療内容 | 全て 根面被服術(歯茎を上げる手術) |
| 治療費 | 総額 88000円〜 |
| 治療回数 | 1回 |
| リスク | 術部の発赤、腫脹、疼痛、部分的なネクローシス |


| 項目名 | 内容 |
|---|---|
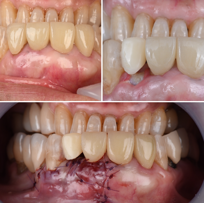
| 治療内容 | リッジプリザベーション(歯周外科)+インプラント埋入 |
| 治療費 | 総額 約60万〜 |
| 治療回数 | 10回 |
| リスク | 術部の発赤、腫脹、疼痛、部分的なネクローシス |
当院では、患者様が抱えているお口のお悩みや疑問・不安などにお応えする機会を設けております。どんなことでも構いませんので、私たちにお話ししていただけたらと思います。
ご興味がある方は下記からお問い合わせください。
料金は料金表をご参照ください。
