虫歯・歯周病を防ぐ方法が
あること、ご存知ですか?
虫歯・歯周病は感染症です。
つまり、インフルエンザと同じで
「予防処置」を行うことで、
発症を抑え込むことができるのです。
これは多くの方が
まだ理解されていません。
毎回、「治療」をしに歯医者に行きますか?
それとも、「健康な状態を維持」するために歯医者に行きますか?

虫歯・歯周病は感染症です。
つまり、インフルエンザと同じで
「予防処置」を行うことで、
発症を抑え込むことができるのです。
これは多くの方が
まだ理解されていません。
毎回、「治療」をしに歯医者に行きますか?
それとも、「健康な状態を維持」するために歯医者に行きますか?
私たちの使命は歯医者の利用の仕方を根本から変えてもらうことだと思っています。
歯医者は、痛みがある時や詰め物などが外れた時に受診する方が多いと思います。その場合、実はかなり状態が進行していることが多く、当然治療も大掛かりになります。
そして、頑張って治療が終わり『歯を治療したからもう安心!』と思われる方が多いと思いますが、実は、治療した歯というのは再発のリスクがとても高いのをご存知でしたか?
悪くなった部分を人工のもので補うと、デコボコが出来ます。
人間の目には見えなくても、虫歯菌・歯周病菌にとっては大きなデコボコです。
そこに細菌がたまりやすく、かつ、デコボコのすき間から細菌が内部に入り込み再発の可能性を高めます。

しかし、自分の歯であればデコボコはないので、上記のようなことは起きません。
歯は生まれ持ったままの、天然の歯が一番強く長持ちします。
歯科医院を『治す』場所から『守る』場所へと変えていったら、皆様のお口は生涯安泰です。皆様のお口を守るために一生懸命アドバイス、クリーニングをいたします。是非、歯のメンテナンスに取り組んで健康に過ごしていただくことを切に願っております。
予防処置における当院の取り組みをご紹介します。

虫歯・歯周病の原因は歯垢や歯石になります。
一般的にはこの歯垢・歯石を物理的に除去していくのですが、物理的に除去できるのは「目に見える部分」だけとなります。

先ほどもお伝えした通り、虫歯・歯周病のそもそもの原因は「細菌」ですので、目に見える細菌の塊である歯垢・歯石の除去だけでは十分ではありません。「目に見えない」細菌もいます。
では、目に見えない細菌をどのように除去していくのか?
それをこれからお伝えしていきます。

まずは「敵を知ること」。
これが大切です。当院では「唾液検査」を行い、患者様の虫歯・歯周病リスクをチェックします。検査結果より、リスクに応じた患者様オリジナルの治療計画を立案します。
虫歯リスクチェックに関しては「デントカルト」と呼ばれるWHO(世界保健機構)の疫学検査にも使われている信頼度の高い唾液検査を利用しています。


歯周病リスクチェックでは「ペリオスクリーン」と呼ばれる検査キットを利用します。


※唾液検査は、矯正歯科治療、インプラント治療では初期検査で行って頂いております。

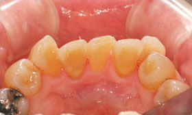
プロフェッショナルクリーニングは「プロによる特殊な機材を利用した歯のクリーニング」のことを言います。
主な目的は、虫歯・歯周病の原因となるプラーク(ネバネバしたお口の中の細菌のかたまり)を効果的に除去することですが、副次的効果として、歯の黄ばみ等も一緒に除去できるため、本来の歯の色合いを回復させることができます。


クリーニングで歯の汚れを除去した症例。リスクは、特にない。

当院では歯科医師、そして歯科衛生士が担当制をとることにより、患者様をしっかりサポートします。
歯周病は「生活習慣病」とも言われます。
つまり、歯周病を改善させるためには、患者様の生活習慣、正確、好み、仕事、趣味等を総合的に把握することが大切になります。
毎回担当者が変わってしまうと、この部分の精度が落ちてしまうため、適切な診断や提案が難しくなります。
また毎回同じ担当者が治療に当たりますので、お互いにリラックスした状態で診療ができ、コミュニケーションを楽しみながらお口の健康維持につなげることができます。
当院では幅広い知識と経験を持った歯科医師と歯科衛生士が密接に連携することで、さらなる治療効果を実現しています。
一般の方々は、
「歳をとれば、自然に歯が抜けてしまうものだ」とお考えの方がいると思いますが、事実は違います。若いころから歯科医院で定期的にメンテナンスを受けていれば、多くの歯を残すことが可能です。
ある興味深い統計があります。
歯科医院での定期的な予防・メインテナンスを「した方」と「そうでない方」の年齢別の統計です。これによると80歳のなったときに残っている歯の本数には9本近くの開きがでるという結果になりました。

また、「痛いときにだけ歯医者に通う方」と「定期的に通院する方」の「歯のライフサイクルと治療費を比較」した統計も非常に興味深いデータが出ています。


「3~6ヶ月に1回の定期的メインテナンスに行くのは面倒だし、費用も高くなりそうだな」と感じておられる方も多いと思います。しかし、結果はどうでしょうか。
定期的に通院した方が約300万円も治療コストがかかっていません。
また、歯科医師としてなによりも主張したい点は、「80歳になっても自分の歯でいられる」ことの素晴らしさです。
歯を失うことのつらさは、実際に失った方でないと分りませんが、事実、生活の質が落ちてしまいます。快適な老後を送るためにも、早いうちから歯のありがたみを理解し、日々のブラッシング、定期的なメインテナンスを生活習慣の1つに組み込むことが非常に大切となります。
当院では、患者様が抱えているお口のお悩みや疑問・不安などにお応えする機会を設けております。どんなことでも構いませんので、私たちにお話ししていただけたらと思います。
ご興味がある方は下記からお問い合わせください。
料金は料金表をご参照ください。
